GIST duodenal e Síndrome de Chilaiditi

Autores/as

  • Eduardo Alexandre Souza Góis Universidade Federal de Minas Gerais
  • Moana Machado Barbosa
  • Marcilea Silva Santos

Palabras clave:

neoplasias gastrointestinais, tumores do estroma gastrointestinal, procedimentos cirúrgicos do sistema digestório, duodeno

Resumen

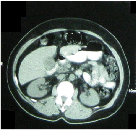
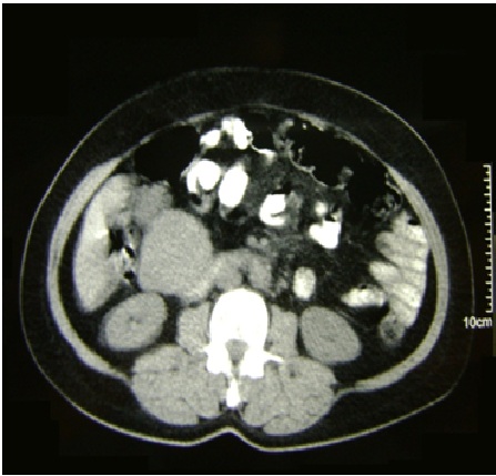
Os tumores estromais gastrointestinais (GISTs) são os tumores mesenquimais mais frequentes do tubo digestivo. São tumores originários das Células Intersticiais de Cajal. Podem acometer qualquer segmento gastrointestinal, predominando no estômago e jejuno, porém no duodeno é uma localização rara, ocorrendo em torno de 3% a 5% dos pacientes acometidos por GIST. Entre 10% a 30% são completamente assintomáticos, sendo descobertos acidentalmente durante endoscopia, diagnósticos radiológicos e até durante intervenções cirúrgicas devido a várias razões. Se presente, os sintomas clínicos são inespecíficos e incluem: cólica abdominal, sensação de saciedade precoce, flatulência, prolongado sangramento gastrointestinal, anemia de origem desconhecida, perda de peso, vômitos e abdômen agudo. Na tomografia computadorizada, que é considerada como técnica de referência, os GISTs se apresentam tipicamente como massas grandes, bem delimitadas, heterogêneas e, às vezes, exofíticas. Para o seu tratamento, preconiza-se a exérese cirúrgica. 

Descargas

Los datos de descargas todavía no están disponibles.

Métricas

Cargando métricas ...

Biografía del autor/a

Eduardo Alexandre Souza Góis, Universidade Federal de Minas Gerais

Residente em Cirurgia Geral UFMG

Moana Machado Barbosa

Médica Emergencista

Marcilea Silva Santos

Médica Emergencista

Citas

Cichoż‑Lach H, Kasztelan‑Szczerbińska B, Stomka M. Gastrointestinal tumors: epidemiology, clinical Picture, diagnosis, prognosis and treatment. Polskie Archiwum Medycyny Wewnetrznej. 2008;118(4):216-20.

Valadão M, Linhares E, Monteiro M, Fernandes DS, Vidal EI, Saraiva CS, et al. Perfil dos portadores de GIST operados no Estado do Rio de Janeiro: Estudo multicêntrico SBCO. Rev Bras Cancerol. 2009;55(2):145-9.

Van Everdingen KJ, Feldberg MA. Diagnostic image Chilaiditi syndrome. Ned Tijdschr Geneeskd. 2001;145(42):20-6.

Matthews J, Beck GW, Bowley DM. Chilaiditi syndrome and recurrent colonic volvulus. Rev Nav Med Serv. 2001;87(2):111-2.

Altomare DF, Rinaldi M, Petrolino M, Sallustio PL, Guglielmi A, Pannarale OC, Chilaiditi´s syndrome. Successful surgical correction by colopexy. Tech Coloproctol. 2001;5:173-5.

White JJ, Chavez EP, Souza J. Internal hernia of the transverse colon Chilaiditi syndrome in a child. J Pediatr Surg. 2002;37(5):802-4.

Manzur MT, Clark HB. Gastric stromal tumors. Reappraisal of histogenesis. Am J Surg Pathol. 1983;7:507-19.

Oliveira RPB, Pannain VL, Portari Filho PE, Salomão AR, Iglesias AC, Oliveira CAB. Tumor estromal gastrointestinal: análise de fatores relacionados ao prognóstico. Rev Col Bras Cir. 2007;34(6):374-80.

Mennigen R, Wolters HH, Schulte B, Pelster FW. Segmental resection of the duodenum for gastrointestinal stromal tumor (GIST). World J Surg Oncol. 2008;105(6):1-6.

Salazar LIF, Gago TA, Rubiales AS, Jiménez BV, De La Fuente RA, Hernández JMG. Tumores de la estroma gastrointestinal (GISTS): aspectos clínicos. Rev Esp Enferm Dig. 2007;99:19-24.

Neves LRO, Oshima CTF, Artigiani-Neto R, Yanaguibashi G, Lourenço LG, Forones NM. Ki67 and p53 in gastrointestinal stromal tumors – GIST. Arq Gastroenterol. 2009;46(2):116-20.

Joensuu H. Gastrointestinal stromal tumor (GIST). Ann Oncol. 2006;17(10):280-6.

Miettinen M, Kopczynski J, Makhlouf HR, Sarlomo-Rikala M, Gyorffy H, Burke A, et al. Gastrointestinal stromal tumors, intramural leiomyomas, and leiomyosarcomas in the duodenum: a clinicopathologic, immunohistochemical, and molecular genetic study of 167 cases. Am J Surg Pathol. 2003;27:625-41.

Fujimoto Y, Nakanishi Y, Yoshimura K, Shimoda T. Clinicopathologic study of primary malignant gastrointestinal stromal tumor of the stomach, with special reference to prognostic factors: analysis of results in 140 surgically resected patients. Gastric Cancer. 2003;6:39-48.

Uehara K, Hasegawa H, Ogiso S, Sakamoto E, Shibahara H, Igami T. Gastrointestinal stromal tumor of the duodenum: diagnosis and treatment. Geka. 2001;63:1058-61.

Publicado

2014-04-01

Cómo citar

1.
Góis EAS, Barbosa MM, Santos MS. GIST duodenal e Síndrome de Chilaiditi. Rev. Fac. Ciênc. Méd. Sorocaba [Internet]. 1 de abril de 2014 [citado 31 de diciembre de 2025];16(1):40-2. Disponible en: https://adamo.pucsp.br/index.php/RFCMS/article/view/11366

Número

Sección

Relato de Caso