Hemibalismo-hemicoreia como manifestação inicial do diabetes mellitus tipo 2: descrição de caso

Autores

  • Renan Flávio de França Nunes UERN
  • Marcos Antonio de Souza UERN
  • Wogelsanger Oliveira Pereira
  • Rafael Fernandes de Queiroz Neto UERN
  • Aline Maria Cavalcante Gurgel UERN

Palavras-chave:

discinesias, coreia, Diabetes mellitus tipo 2

Resumo

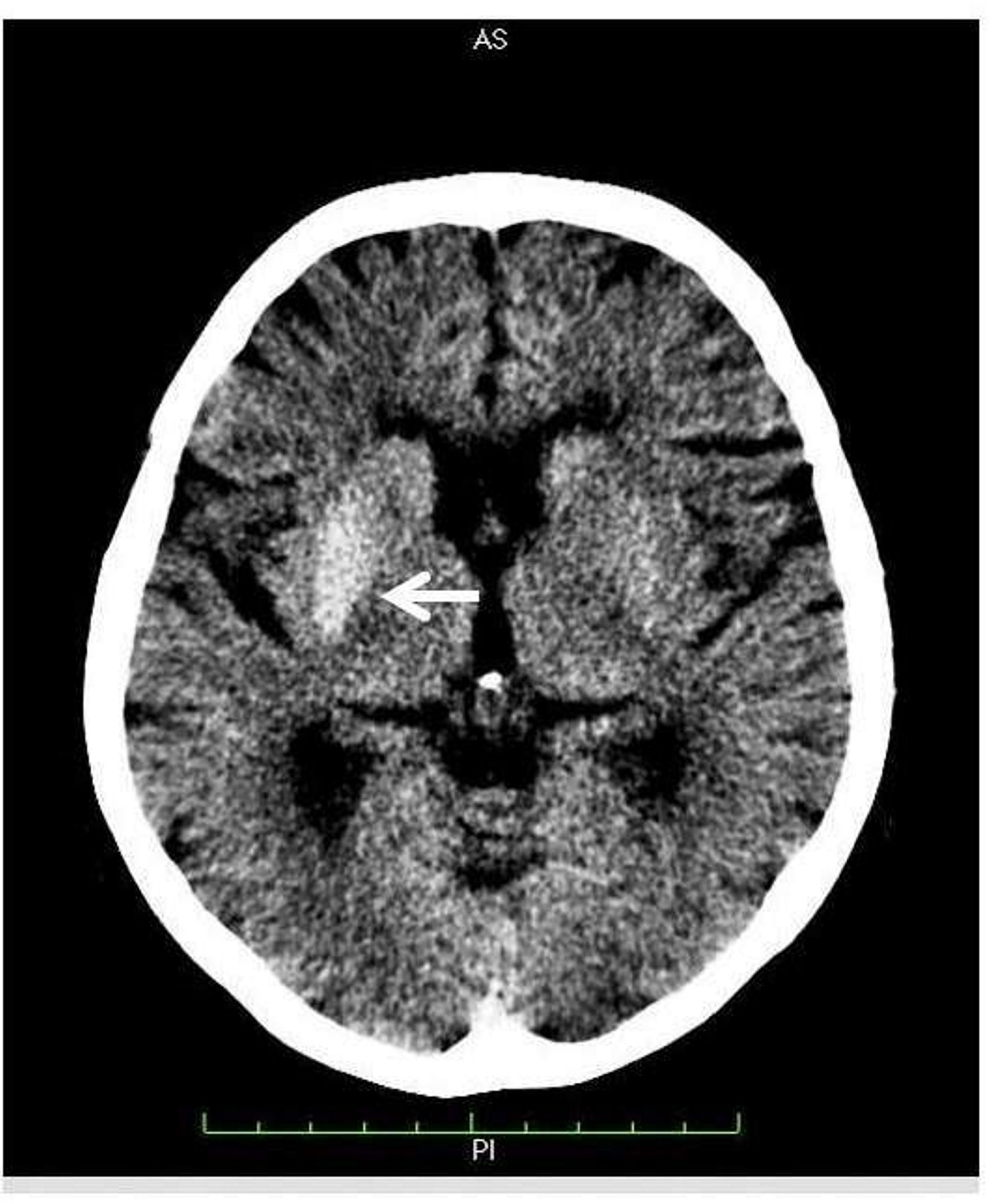
A hemicoreia-hemibalismo (HCHB) faz parte de um espectro de movimentos contínuos e involuntários de uma parte do corpo. Dentre as causas está o Diabetes mellitus. A apresentação de HCHB no estado hiperglicêmico configura-se como uma manifestação rara desse distúrbio metabólico sistêmico, e é associado a alterações nos exames de imagem cerebral, como a tomografia computadorizada, constituindo-se numa síndrome de caracterização e estudos recentes e de poucos relatos na literatura. Trata-se de uma paciente que apresentou abertura do quadro de Diabetes mellitus tipo 2 com HCHB, além de queixas de poliúria e polidipsia, apresentado, à admissão, glicemia capilar ao acaso de 586 mg/dl. A tomografia de crânio evidenciou leve hiperdensidade nos gânglios da base à direita. Após o controle dos níveis glicêmicos, a paciente apresentou melhora progressiva até remissão total do quadro em um período de 30 dias, com nova imagem tomográfica revelando completo desaparecimento da lesão neurológica inicial.

Downloads

Não há dados estatísticos.

Metrics

Carregando Métricas ...

Biografia do Autor

Renan Flávio de França Nunes, UERN

Departamento de Ciências Biomédicas - Universidade do Estado do Rio Grande do Norte.

Marcos Antonio de Souza, UERN

Departamento de Ciências Biomédicas - Universidade do Estado do Rio Grande do Norte.

Wogelsanger Oliveira Pereira

Doutor em Ciências da Saúde pela UNIFESP, Professor Adjunto IV da Universidade do Estado do Rio Grande do Norte (UERN).

Rafael Fernandes de Queiroz Neto, UERN

Médico Residente em Medicida da Família e da Comunidade pela Universidade do Estado do Rio Grande do Norte.

Aline Maria Cavalcante Gurgel, UERN

Endocrinologista pela Unicamp e Professora da disciplina de Endocrinologia do curso de Medicina da UERN.

 

Referências

Zétola VF, Verschoor B, Lima FM, Ottmann FE, Doubrawa E, Paiva E, et al. Hemibalismo-hemicoreia em estado hiperglicêmico não cetótico: distúrbio do movimento associado ao diabetes melito. Arq Bras Endocrinol Metab. 2010;54(3):335-8.

Lai PH, Tien RD, Chang MH, Teng MM, Yang CF, Pan HB, et al. Chorea-ballismus with nonketotic hyperglycemia in primary diabetes mellitus. Am J Neuroradiol. 1996;17:1057-64.

Fernández EG, Imizcoz MG, Baños MPA, González-Reguera VMGH, Pereg LM, Mazo ES, et al. Hemibalismo secundario a descompensación hiperglucémica hiperosmolar. Endocrinol Nutr. 2008;55(7):308-10.

Lin JJ, Lin GY, Shih C, Shen WC. Presentation of striatal hyperintensity on T1-weighted MRI in patients with hemiballism-hemichorea caused by non-ketotic hyperglycemia: report of seven new cases and a review of literature. J Neurol. 2001;248:750-5.

Coral P, Teive HAG, Werneck LC. Hemibalismo: relato de oito casos. Arq Neuro-Psiquiatr. 2000;58(3):698-703.

Felicio AC, Chang CV, Godeiro-Junior C, Okoshi MP, Ferraz HB. Hemichorea-hemiballism as the first presentation of type 2 diabetes mellitus. Arq Neuro-Psiquiatr. 2008;66(2A):249-50.

Block H, Scozzafava J, Ahmed SN, Kalra S. Uncontrollable movements in patient with diabetes mellitus. CMAJ. 2006;175(8):871.

Downloads

Publicado

2014-04-01

Como Citar

1.
Nunes RF de F, Souza MA de, Pereira WO, Queiroz Neto RF de, Gurgel AMC. Hemibalismo-hemicoreia como manifestação inicial do diabetes mellitus tipo 2: descrição de caso. Rev. Fac. Ciênc. Méd. Sorocaba [Internet]. 1º de abril de 2014 [citado 29º de dezembro de 2025];16(1):43-5. Disponível em: https://adamo.pucsp.br/index.php/RFCMS/article/view/15525

Edição

Seção

Relato de Caso