Ictiose lamelar: um relato de caso

Autores

  • Carolina Ando Matsuno FCMS/PUC-SP
  • Lais Orosco Bialon Santana FCMS/PUC-SP
  • Deborah Regina Cunha Simis FCMS/PUC-SP
  • Maria de Lourdes Peris Barbo FCMS/PUC-SP
  • Marta Wey Vieira FCMS/PUC-SP

Palavras-chave:

ictiose, ictiose lamelar, dermatopatias genéticas

Resumo

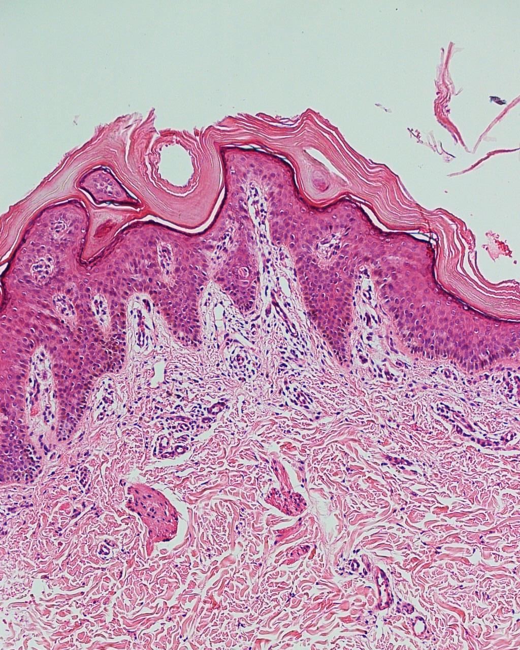
A ictiose lamelar congênita é uma genodermatose autossômica recessiva rara, de expressividade variável e envolve uma mutação no gene TGM1 no cromossomo 14, além de outros. Aparente ao nascimento, o neonato geralmente está envolvido por colódio. As taxas de renovação epidérmica podem diferenciar os tipos de ictiose, caracterizando-as em transtornos da hiperproliferação epidérmica ou de retenção prolongada da camada córnea. O acomentimento cutâneo necessita de atenção diferenciada, pois os casos variam quanto à severidade. Os autores deste artigo descrevem um caso dessa rara anormalidade.  

Downloads

Não há dados estatísticos.

Metrics

Carregando Métricas ...

Biografia do Autor

Carolina Ando Matsuno, FCMS/PUC-SP

Acadêmica do curso de Medicina FCMS/PUC-SP

Lais Orosco Bialon Santana, FCMS/PUC-SP

Acadêmica do curso de Medicina FCMS/PUC-SP

Deborah Regina Cunha Simis, FCMS/PUC-SP

Professora do Depto. de Medicina FCMS/PUC-SP, in memoriam

Maria de Lourdes Peris Barbo, FCMS/PUC-SP

Professora do Depto. de Morfologia e Patologia FCMS/PUC-SP

Marta Wey Vieira, FCMS/PUC-SP

Professora do Depto. de Medicina FCMS/PUC-SP

Referências

Ceccon ME. Ictiose congênita. Pediatria. 1994;16(3):113-9.

Buxbaum MM, Goodkin RE, Fahrenbach WH. Harlequin ichthyosis with epidermal lipid anormality. Arch Dermatol. 1979;115:189-93.

Ictioses hereditárias: Portaria SAS/MS nº 13, de 15 de janeiro de 2010. In: Brasil. Ministério da Saúde. Protocolo Clínico e Diretrizes Terapêuticas. Brasília, DF: Ministério da Saúde; 2010. p. 426-36.

Ichthyosis, lamellar, autosomal dominant. In: OMIM Online Mendelian Inheritance in Man [Internet]. Baltimore: Johns Hopkins University; c1996-2014 [acesso em 25 set. 2013]. Disponível em: http://omim.org/entry/146750

Fitzpatrick TB, Freedberg IM. Fitzpatrick's dermatology in general medicine. New York: MacGraw-Hill; 1999.

Behrman RE, Jenson HB, Kliegma R. Nelson tratado de pediatria. 18ª ed. Rio de Janeiro: Elsevier; 2009.

Vahlquist A, Ganemo A, Virtanen M. Congenital ichthyosis: an overview of current and emerging therapies. Acta Derm Venereol. 2008;88(1):4-14.

Sampaio SAP, Rivitti EA. Dermatologia básica. 2ª ed. São Paulo: Artes Médicas, 2000.

Azulay RD, Azulay DR. Dermatologia. 3ª ed. Rio de Janeiro: Guanabara Koogan, 2006.

Elder D, Elenitsas R, Johndon B Jr, Lofreda M, Miller JJ, Mille OF et al. Histopatologia da pele de Lever: manual e atlas. Barueri: Manole; 2001.

DiGiovanna JJ, Robinson-Bostom L. Ichthyosis: etiology, diagnosis, and management. Am J Clin Dermatol. 2003;4(2):81-95.

Verfaille C, Vanhoutte FP, Blanchet-Bardon C, van Steensel MA, Steijlen PM. Oral liarozole vs. acitretin in the treatment of ichthyosis: a phase II/III multicentre, double-blind, randomized, active-controlled study. Br J Dermatol. 2007;156(5):965-73.

Brito MFM, Sant'anna IP, Figueiroa F. Evaluation of the side effects of acitretin on children with ichthyosis: a one-year study. An Bras Dermatol. 2004;79(3):283-8.

Downloads

Publicado

2014-09-24

Como Citar

1.
Matsuno CA, Santana LOB, Simis DRC, Barbo M de LP, Vieira MW. Ictiose lamelar: um relato de caso. Rev. Fac. Ciênc. Méd. Sorocaba [Internet]. 24º de setembro de 2014 [citado 29º de dezembro de 2025];16(3):146-8. Disponível em: https://adamo.pucsp.br/index.php/RFCMS/article/view/16737

Edição

Seção

Relato de Caso